2024年4月29日中午,磁共振室完成了一例出生仅4天、体重不足2.6千克的新生儿上腹部MRI平扫、DWI功能成像以及动态增强扫描,创下目前21点技巧中心
MRI增强扫描患者年龄最小、体重最轻的新记录。
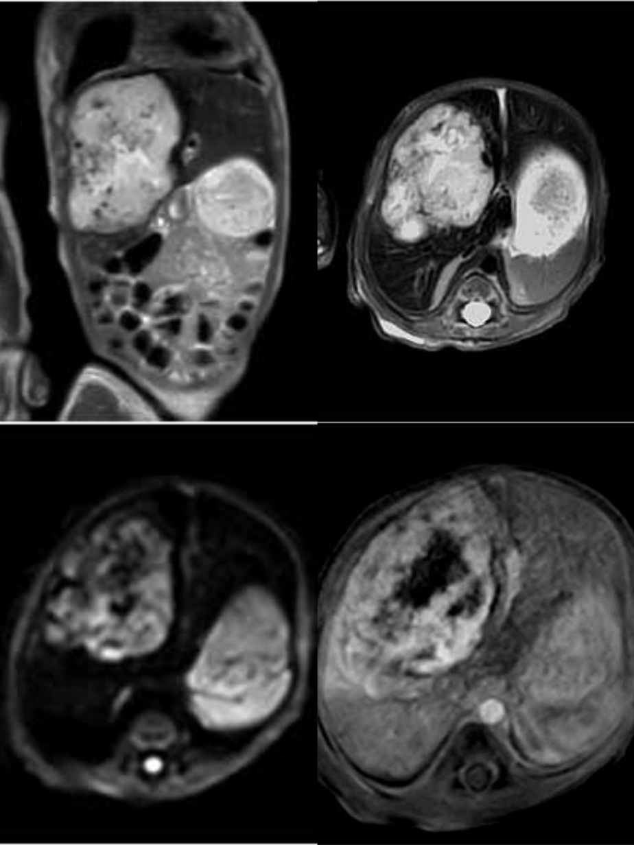
患儿母亲产前检查时B超发现右上腹包块,4月25日在21点技巧中心
剖宫产后,患儿当天即入住新生儿科。为了明确患儿腹部包块位置和性质,及早做出明确的诊断以便制定治疗方案,新生儿科雷宏涛主任第一时间联系磁共振室雷晓燕主任,探讨患儿血管细、肝肾功能发育不全、不能自主配合呼吸的情况下行腹部磁共振检查的可行性。雷晓燕主任召集张鑫技师长、李玲医师和陕梦迪护师一起查阅文献和国内规范与指南,结合文献以及以往学术会议中的经验与分享,从对比剂的选择到对比剂与生理盐水的比例、注射方案,再到患儿的摆位、线圈选择及扫描序列的个性化,尤其对于增强扫描检查中可能出现的不良反应和处理方法等也做出了详细的计划和预案。
4月29日中午,在新生儿科卢红茹副主任医师和张莉莉主管护师全程保驾护航和雷晓燕主任悉心指导下,张鑫技师长和李娟主管护师、程苗技师在做好前期充分准备工作后,三人默契配合,选择更贴近患儿身体的膝关节线圈,并调整检查序列,克服患儿血管纤细、不时哭闹、无法运用呼吸触发和屏气等重重困难的情况下,仅用时二十分钟,顺利完成了上腹部MRI平扫、动态增强扫描及功能成像(DWI)检查,并获得满意的图像。
磁共振室在雷晓燕主任的带领下,一直以解决临床需求为目标,并持续在科室各个组内落实新业务新技术培训与学习。除了修炼好内功,科室还邀请国内外行业顶尖学者来院授课交流,在夯实基础的同时不断提升科室的临床与科研创新能力,勇于面对苦难与挑战,为紧跟21点技巧中心
高质量发展的步伐努力奔跑。




