近日,在陈丽宏主任的带领下,妇科专业于翠革主任医师团队完成21点策略
首例宫腔镜下子宫内膜赘生物刨削系统切除术。
患者为一位老年女性,宫腔镜检查发现宫腔内大小约2.5*1.5cm息肉样赘生物,因赘生物基底部较宽,无法实施冷刀摘除术。在与患者及家属沟通病情及治疗方案后,在手术室及麻醉部配合下,由于翠革主任医师团队完成手术,手术过程顺利,全程无出血,术后探查宫腔内壁平整。
宫腔镜刨削系统是一种以机械旋切为原理的宫腔镜组织切除系统,刀片在设备内高速旋转,切割效率高,可同时进行组织切除和组织吸引,临床适应症为宫腔良性疾病,有子宫粘膜下肌瘤(G0/G1型)、子宫内膜息肉、宫内妊娠组织残留、宫腔粘连等。与传统的宫腔镜电切术相比,其优势有:1.纯粹冷刀操作,机械性分离,对子宫内膜无电热损伤,术后恢复快。2.同步实施组织切除和吸引,手术视野更加清晰。3.持续切割操作,缩短手术时间,降低液体吸收超负荷的风险。4.侧面刀头避免周边组织副损伤以及子宫穿孔。5.无电切过程中气体栓塞的风险。宫腔镜刨削系统最大限度降低了对子宫内膜的副损伤,缩短了手术时间,手术视野清晰,是一种更加安全有效的手术解决方案,尤其对于育龄期女性能发挥保护子宫内膜的重要作用,是有生育要求的宫腔病变患者的福音。
为紧跟21点策略
高质量发展的要求以及更好地满足人民群众日益增长的医疗需要,妇科专业一直以来在新技术新业务等方面刻苦钻研,在妇科疾病诊疗方面积累了丰富的经验,为广大女性保驾护航。

图1.宫腔镜检查提示宫腔后壁大小约2.5cm*1.5cm息肉样赘生物,蒂宽

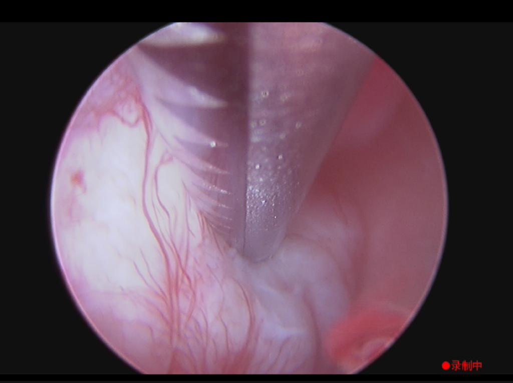
图2.宫腔镜下刨削系统切除子宫内膜赘生物

图3.术后探查宫腔内壁平整,无残留赘生物组织,未损伤周围组织