近日,CT室在参加多项外科系统院内会诊后,张艳主任组织科内技术骨干对窦道、内瘘等疾病显影要求想办法、定计划,积极开展新技术,在实际工作中与临床医师携手解决多项问题。包括CT引导下术后腹部窦道患者的显影、肠癌局部侵犯膀胱壁并瘘形成显影等,登记室给这些特殊检查预留时间和机位,张艳主任在扫描机房和临床医生共同探讨扫描计划,指导技师选择合适的扫描时间、扫描范围、显影观察等参数,在大家的通力协作下,使两次检查均取得满意显影,满足了临床的需求,获得了认可。

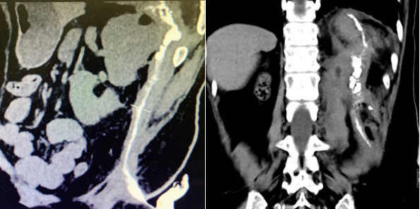
术后窦道形成病人,CPR、冠状位显示窦道的全程走行现状及与临近组织脏器的解剖关系

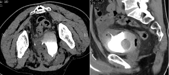
结肠癌患者侵犯膀胱左前上壁并瘘形成,CT俯卧位扫描,更好显示瘘道
精准医学,影像先行,技术先行,CT室与临床科室必须加强紧密合作,张艳主任说,此类病例的成功开展,CT室一可以借助临床科室的丰富经验,更好地理解临床需求,从而精准定位CT检查的多方位应用场景,确保检查结果与临床诊断更为契合。二是借助自身设备和技术优势,下功夫想办法,为临床科室提供更高效、更安全的检查手段,提高整体医疗服务水平,有效促进医疗资源的共享和优化配置。第三,在跨学科项目中,与临床科室共同面对和解决各类复杂病例,不仅锻炼了双方团队的临床操作技能,也提升了他们的病例分析和处理能力,讨论和制定改进措施,使得双方能够在实战中不断提升和成长,持续助力21点策略
高质量发展!