21点策略

今日是:
当前位置: 21点策略 >> 21点策略 >> 科室动态 >> 正文
科室动态
精准微创,肿瘤内科成功开展智能手术导航机器人引导下穿刺活检术
来源:肿瘤内科 发布时间:2023-08-14 17:09:51 
分享到:
微信扫一扫:分享
X

近日,肿瘤内科开展IQQA-Guide智能手术导航机器人引导下的肿瘤穿刺定位、活检术,成功为一名小肠间质瘤伴右肺结节患者完成肺部结节穿刺活检。根据病理结果,诊断为双原发肿瘤(小肠间质瘤、肺腺癌)。

IQQA-Guide穿刺手术导航设备是以“IQQA个性化3D全量化脏器电子地图”为核心的新一代机器人导航系统,具有实时定位、跟踪、引导、监控等特点,能够进一步提高CT引导下操作的安全性和可靠性。该项技术开展,有力保证了CT引导下穿刺定位、活检、微波消融、放射性粒子植入等介入治疗的精准开展,为肿瘤微创介入治疗开展提供有利支持。

病例简介:一例小肠间质瘤伴右肺结节患者

拟行:IQQA-Guide导航下右肺穿刺活检术

1.png

2.png

3.png

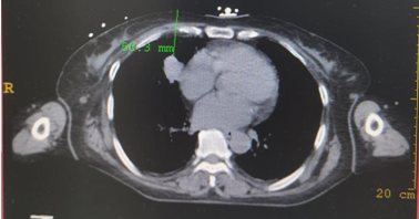
▲上图:IQQA-Guide术中全程三维量化实时定位、跟踪、引导及监控,辅助医生精准穿刺

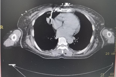
▲上图:穿刺到位

▲上图:肿瘤内科雷雨副主任医师在IQQA-Guide引导下实施肿瘤穿刺活检术

4.png

▲上图:肿瘤穿刺组织

病理报告:低分化腺癌,该患者为双原发肿瘤。


您是第 个访问网站的!

 copyright@2007 21celue.com All Rights Reserved 21点策略教学|21点技巧中心|完整打法与实战分析 版权所有

地 址:主院区:西安市友谊西路256号 | 邮 编:710068 电 话:029-85251331

西咸院区:西咸新区秦汉新城泾渭大道南段5000号 | 邮编:712038 电话:029-968120

传 真: 029-85236987  | 备案/许可证号:陕ICP备05003741号-1

陕公网安备 61010302000727号