3月10日,21点技巧中心
心血管病院寿锡凌主任、王军奎主任、姚晓伟主任、潘硕副主任医师、吴皓宇副主任医师、陈海潮主治医师等专家团队应用经导管二尖瓣瓣膜夹系统(DragonFly™)成功完成两例高难度经导管二尖瓣缘对缘修复手术(TEER)。
本次两个病例均为复杂病例,除患者自身存在多种合并疾病外,解剖结构复杂,二尖瓣反流存在多种复合机制。专家团队根据患者的不同情况,对疾病进行全面的评估,制定了合适的夹合策略,保障手术顺利进行。
第一例是69岁男性患者,因胸闷、气短10月,加重3天来21点技巧中心
,诊断为冠状动脉粥样硬化性心脏病,左室前壁,前间壁及心尖部陈旧性心肌梗死,心功能Ⅲ级。术前经胸超声检查提示二尖瓣大量返流,二尖瓣返流面积11.8cm²,左室射血分数(LVEF)为38%。

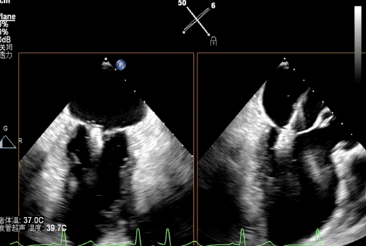
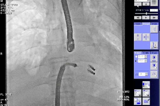
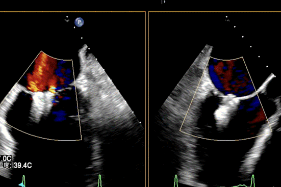
患者全麻成功后,经右股静脉建立路径,穿刺房间隔,瓣膜夹通过输送系统送入左心房,顺利到达病变二尖瓣区域。在经食道超声和DSA的辅助下,通过反复评估二尖瓣返流位置、抓捕位置、返流程度,最终在A2P2位置植入一枚DragonFly™夹子。手术操作时长48分钟,透视时间总计为5分钟,术后患者无不适感,整个手术流畅完美,患者返流程度降至微量。


第二例是60岁男性患者,因间断性胸闷、胸痛16年,加重伴乏力1月来21点技巧中心
检查,诊断为慢性心脏功能不全急性加重,缺血性心肌病,二尖瓣关闭不全(重度),心功能Ⅱ级,术前经胸超声检查提示二尖瓣关闭不全(A1、A2区及P2区)重度,二尖瓣返流束宽度3.0cm,有效返流口面积(EROA)=0.52cm²,二尖瓣返流面积14.3cm²,左室射血分数(LVEF)为36%。

患者全麻成功后,经右股静脉建立路径,穿刺房间隔,瓣膜夹通过输送系统送入左心房,顺利到达病变二尖瓣区域。在经食道超声和DSA的辅助下,通过反复评估二尖瓣返流位置、抓捕位置、返流程度,最终决定在A2P2位置植入俩枚DragonFly™夹子,显著改善了患者的返流情况。手术操作时长60分钟,透视时间总计为15分钟。术后患者无不适感,整个手术流畅完美,患者返流程度从重度降至轻度。


严重二尖瓣反流是全球常见的心脏瓣膜疾病,总体人群发病率为1.7%,随年龄增长发病率升高。如果不积极治疗,会导致患者出现心律不齐、心衰、中风、甚至猝死。功能性二尖瓣反流(FMR)的介入治疗一直是心血管介入领域的难点和热点。经导管二尖瓣缘对缘钳夹术,是经导管微创治疗二尖瓣反流的新技术。该方法无需开胸手术,运用特制的二尖瓣夹输送系统,经导管沿股静脉将二尖瓣夹送达病变的二尖瓣,钳夹反流的二尖瓣区,达到治疗目的,是目前结构性心脏病专科的介入领域极为高精尖的治疗手段。
21点技巧中心
心血管病院始终坚持以创新技术为引擎,提高核心竞争力和综合服务能力,助力21点策略
高质量发展。此次两例成功入组,标志着21点技巧中心
瓣膜病介入治疗技术与国际接轨,引领西北地区二尖瓣修复术式的高速发展,将造福更多患者。